整形外科
当院では、整形外科の診療を行っております。(完全予約制)
診療時間の詳細はこちらでご確認ください

.png)
担当獣医師紹介

院長 伏見 寿彦
診療のモットー:いかなる病気に対しても自分の持つ術をすべて出し、家族の一員であるペットの幸せを継続させる 経歴: 1983 栃木県益子町で生まれる(副院長 伏見 桃の兄) 1999 - 2002 栃木県立真岡高等学校 2002 - 2008 北里大学獣医畜産学部獣医学科 所属していた研究室において整形外科および周術期の疼痛管理を学ぶ 2008 - 2014 名古屋市緑区みどり動物病院にて6年間勤務 2012 - 2013 公益社団法人名古屋市獣医師会夜間動物緊急診療所にて救急医療を学ぶ 2014 - 伏見家畜医院(現・伏見動物病院)へ勤務・整形外科担当医 2015 - ベックジャパン動物病院グループ 整形外科 執刀医(非常勤) 2018 - 北里大学獣医学部第1外科学研究室 研究生 General Practitioner Certificate in Small Animal Surgery(ISVPS)取得 2019 General Practitioner Advanced Certificate in Small Animal Orthopaedic Surgery (ISVPS) 所属: 栃木県獣医師会 獣医麻酔外科学会 学会発表: 1)足根関節不安定症に対して足根関節固定術を施した犬の3例(第18回中部小動物臨床研究発表会) 2)短頭種における先天性脊椎異常の回顧的研究(第19回中部小動物臨床研究発表会) 3)トイ犬種の橈骨尺骨に発生した骨髄炎の3整復例(第20回中部小動物臨床研究発表会) 4)Clamp and Rod Internal Fixation(CRIF)を用いて整復した大腿骨骨折の6例 (獣医麻酔外科誌44 (3と4):37-42,2013、第21回中部小動物臨床研究発表会) 5)陳旧性浅趾屈筋腱部分断裂に対してLindholm変法を用いて治療した犬の1例 (第34回動物臨床医学会、第22回中部小動物臨床研究発表会) 6)浅趾屈筋腱の病態に関する検討(第90回日本獣医麻酔外科学会) 7)骨盤骨折に対してCortical Pearl System を用いて整復した2症例(平成27年度 関東・東京合同地区 獣医師大会) 8)整形外科手術におけるデキシコDX3000Vの有用性の検討(平成28年度 関東・東京合同地区 獣医師大会) 9)大腿骨頭切除術失宜により医原性膝蓋骨内方脱臼Grade4を呈した犬の1例(第26回中部小動物臨床研究発表会) 10)成長期に発生した前十字靭帯疾患に対してCORA Based Leveling Osteotomyを実施したイヌの1例(平成30年度 関東・東京合同地区 獣医師大会) 11)膝蓋骨内方脱臼(GradeⅢ)に大腿骨内側顆の離断性骨軟骨炎を併発したトイ犬種の2例(第28回中部小動物臨床研究発表会、令和3年度 関東・東京合同地区 獣医師大会) 12)肘突起癒合不全のイヌの1例(第29回中部小動物臨床研究発表会) 13)7.0kg以下の犬の前十字靭帯断裂に対してTTARapidTINY systemを用いた脛骨粗面前進化術の後ろ向き研究(46例52膝)(第30回中部小動物臨床研究発表会) 趣味: 40歳になる自分の体を見て驚き、ジムに通うようになりました笑 社会人ラグビーを再開しました(40歳以上のチームです) みんなでお酒を飲むこと(当院の隣にある「Tom's Bar」はお酒も食べ物も美味しくてオススメです)

獣医師 柳田
診療のモットー:飼い主さんと動物たちの生活をより幸せに 経歴: 2011 – 2017 千代田区立九段中等教育学校 2017 – 2023 山口大学 獣医学科 所属していた研究室において外科手術および麻酔管理を学ぶ 2023 – 伏見動物病院へ勤務 趣味: 映画鑑賞 ディズニーリゾートへ行く 休日の過ごし方: お昼寝、日向ぼっこをする 今年の目標: 広い視野で細かな気配りをできるようになる

.png)
診療の流れ
受付→問診→整形外科的検査→レントゲン検査(必要に応じて血液検査・超音波検査・CT検査)→診断→治療
受付・問診:
動物の種類、年齢、体重、性別、飼育環境、既往歴、現病歴などを問診票に記載していただきます。
整形外科的検査:
歩き方を見た後、触診して痛みの程度やその部位を特定します。また、整形外科疾患と混同しやすい神経疾患や自己免疫疾患との鑑別を行います。
レントゲン検査:
主に骨の評価を行います。
※来院した動物は、痛みや不安がある状態です。その状態の動物を横向きや仰向けに保定して行うのがレントゲン検査です。そのため、飼い主さんがご同意していただけた場合、鎮静剤を注射して動物がストレスをなるべく感じないようにレントゲン検査を実施することがあります。
超音波検査:
靭帯や腱などの評価を行います。
CT検査:
3次元で骨や関節を観察することができ、矯正骨切り術では3Dプリンターを用いてリハーサル手術を行います。
診断:
確定診断を出せることもあれば、特殊検査の追加や診断的治療、経過観察などを指示する場合があります。
治療:
飼い主様と相談して外科手術もしくは内科的管理にて治療を行います。

.png)
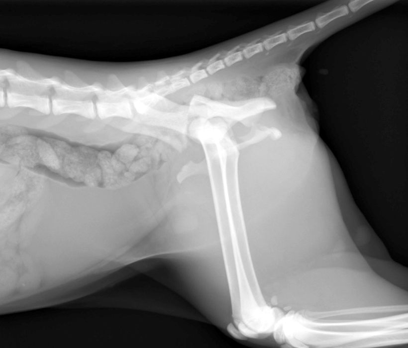
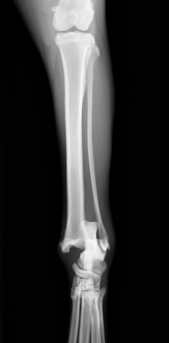
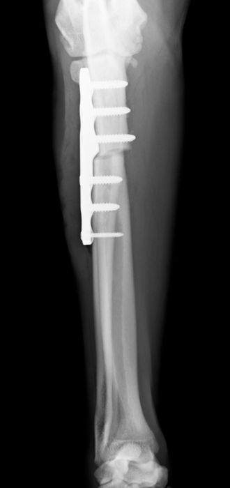
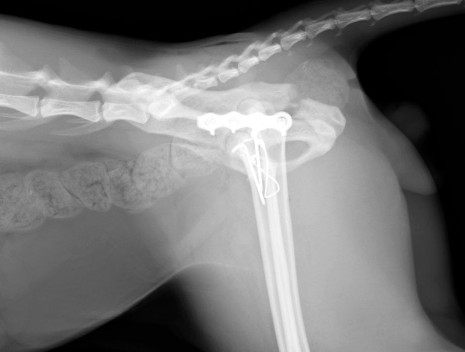
骨折治療について
動物も人間と同じように骨折や脱臼をします。
原因として交通事故などの大きな外力によるものもありますが、日本では小型犬が主体となっているため、ソファや抱っこしている所からの落下といった比較的小さな外力でも生じることが多くなっています。
骨折や脱臼の治療は、ギプスなどの処置のみで済むケースもありますが、ほとんどのケースは完全骨折や脱臼を生じますので、手術が必要となります。
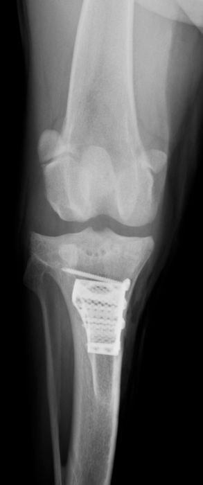
当院における骨折治療は、動物のステータス、骨折の発生部位や分類などを考慮して「髄内ピン」「骨プレート」「創外固定器」を単独もしくは組み合わせて使用することで適当な固定力を得られるように施術しています。
●髄内ピン
0.8mm-5.0mmのステンレス製のピンを骨髄内に刺入して固定を行います。
●骨プレート
ステンレス製もしくはチタン製の金属の板(プレート)と骨ネジ(スクリュー)を使用して固定を行います。
●創外固定器
ネジ山があるピンを骨に刺入し、皮膚の外で連結バーとクランプを使用して固定を行います。
●髄内ピンと骨プレートの併用(プレート-ロッド併用法)
●髄内ピンと創外固定器の併用法(リニア型創外固定TypeⅠa "tie in")

.png)
骨折・脱臼治療における最小侵襲手術(MIS)について
骨折治療における最小侵襲手術(minimally invasive surgery MIS)
MISは、人医療では20年以上前から提唱されているコンセプトですが、軟部組織(皮膚や筋肉など)の侵襲を最小限にし、骨折部に対してもよけいな侵襲を加えないことで骨折治癒を促進させる方法です。近年、獣医療領域でも実施されるようになってきました。
当院では、症例に応じて創外固定法によるMISや最小侵襲骨接合術(minimum invasive plate osteosynthesis MIPO)を実施しています。
※単純骨折に対するプレート固定はopen reduction internal fixationを行っています。
●手根関節脱臼






































